Katze Feli wurde auf 16 bis 18 Jahre geschätzt. Sie wurde schon vor Jahren von ihrer Besitzerin in Gelsenkirchen zurück gelassen und seitdem von lieben Frauen an einer sicheren Futterstelle versorgt. Feli ging es in den letzten Wochen des Jahres 2025 zunehmend schlechter und ihr Bauch wurde immer dicker. Leider war kein Geld für die tierärztliche Untersuchung vorhanden, so dass wir eingesprungen sind.
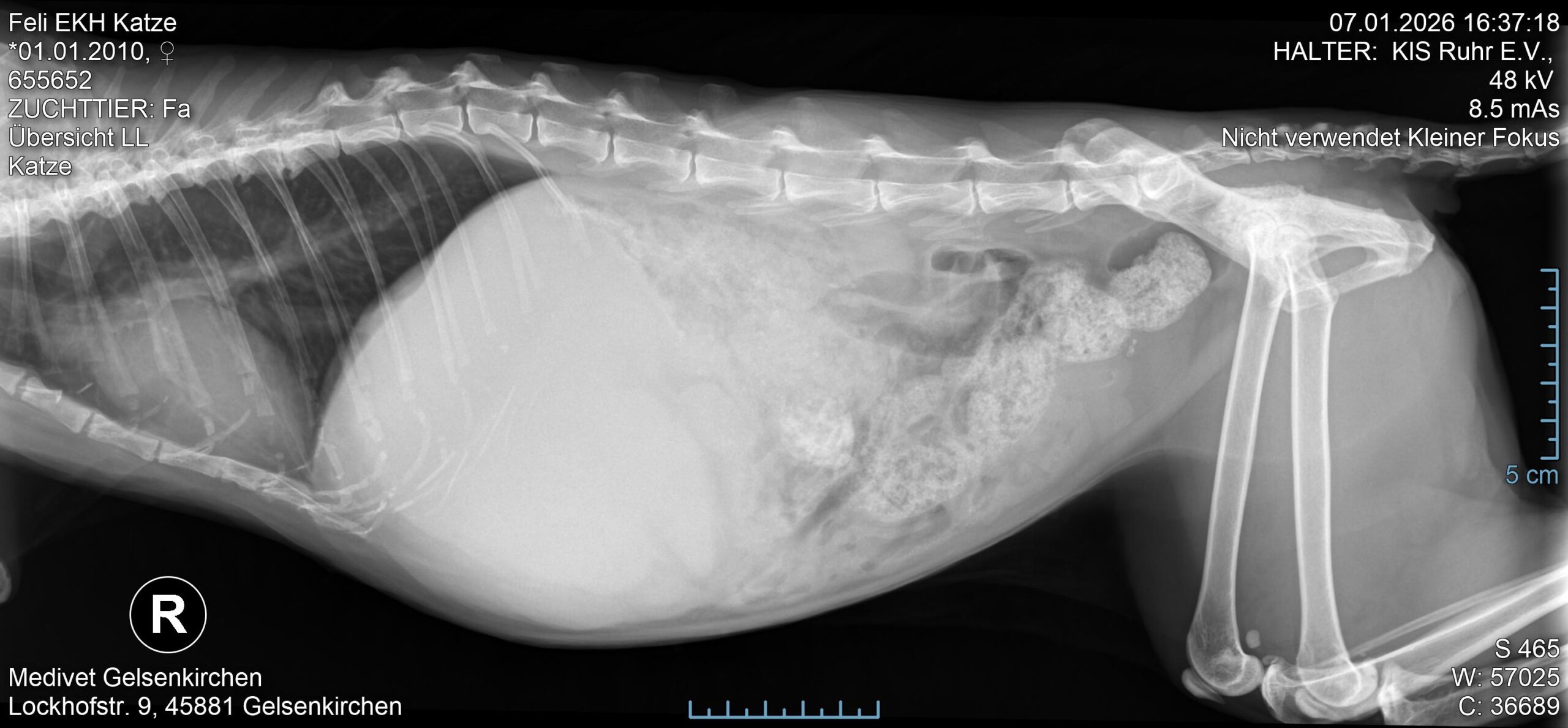
Die Ärztin fand den riesigen Lebertumor sofort. Ebenso hatte Feli erwartungsgemäß Spondylosen, ein Herzgeräusch und vermutlich kaputte Nieren.
Da die süße Oma unter Schmerzmittel schmuste, sich kugelte, fröhlich und aktiv war, wurde sie auf unsere Kosten palliativ behandelt, um noch einen schmerzfreien, schönen letzten Lebensabschnitt zu haben. Leider waren ihr nach der schweren Diagnose nur noch 5 Tage hier auf der Erde vergönnt. Die konnte sie aber schmerzfrei und in Sicherheit verbringen.
Ganz ruhig, in Anwesenheit ihrer Bezugsperson, machte sie sich am 14. Januar 2026 in der Praxis auf den Weg über die Regenbogenbrücke 🌈
Goodbye Feli, du wunderschöner neuer Stern am Himmel ⭐️
Januar 2026 – Hilfe für Feli-
